sprawdź efekty naszej pracy
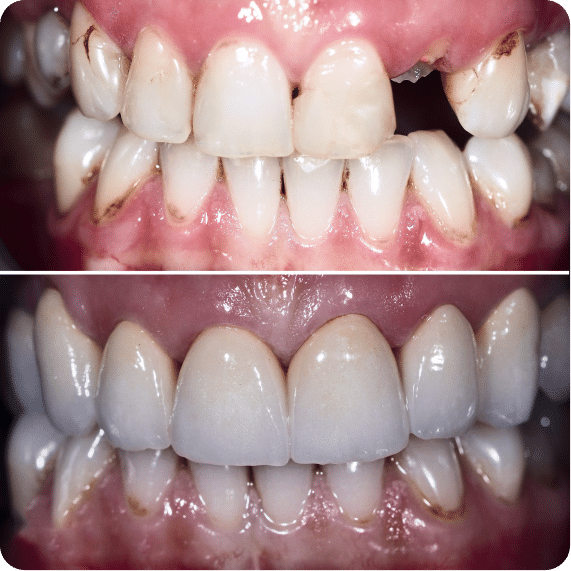
korony porcelanowe
Sławomir Płucienniczak
Korony Porcelanowe na ZrO wyk. Sławomir Płucienniczak
Licówki pełnoceramiczne
Sławomir Płucienniczak
Licówki Pełnoceramiczne „Non Prep” wyk. Sławomir Płucienniczak
korony porcelanowe
Sławomir Płucienniczak
Korony Porcelanowe na ZrO wyk. Sławomir Płucienniczak
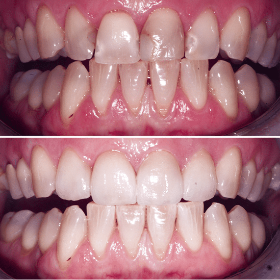
Korony porcelanowe
Sławomir Płucienniczak
Korony Porcelanowe na ZrO d.12.11.21.22 wyk. Sławomir Płucienniczak
Licówki Pełnoceramiczne
Sylwia Wajdzik
Licówki pełnoceramiczne wykonane na masie osłaniającej wyk. Sylwia Wajdzik
Korony Porcelanowe
Sylwia Wajdzik
Korony Porcelanowe „E-max” d. 11.21 wyk. Sylwia Wajdzik
Licówki Porcelanowe
Sylwia Wajdzik
Licówki Porcelanowe wykonane na masie osłaniającej d. 11.21 wyk. Sylwia Wajdzik
