Fixed Prostheses

Removable prostheses

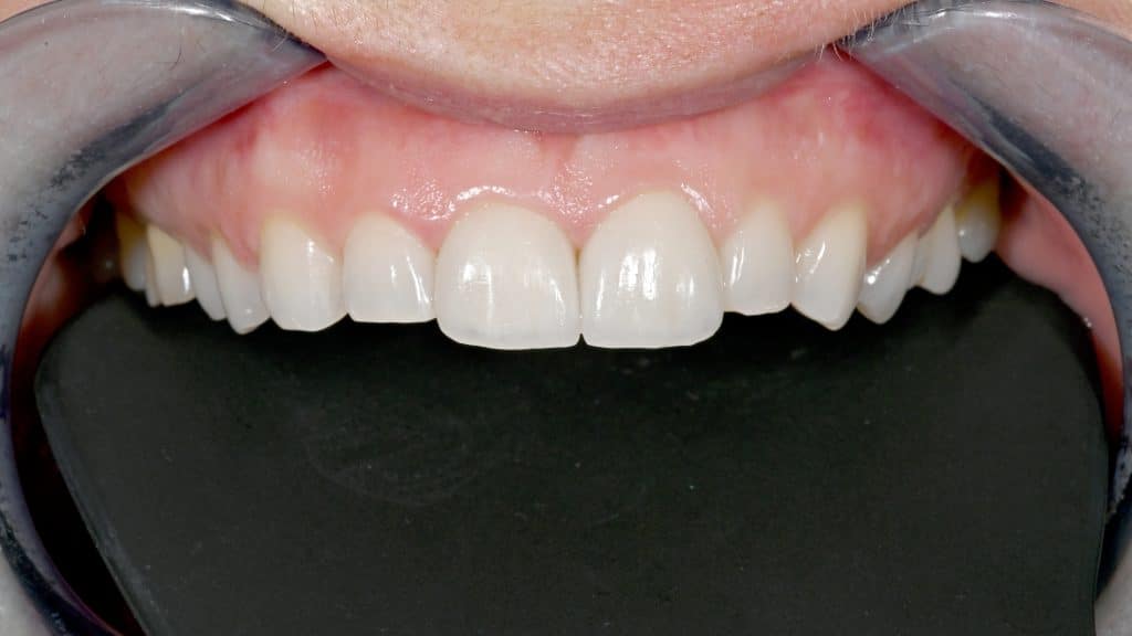
Veneers

We have extensive experience in making ceramic veneers. Both using the feldspathic method created by layering dental ceramic as well as the CAD/CAM technique.

vital dent

contact details

copyrights 2021

created by snws.