Protezy stałe
Protezy ruchome
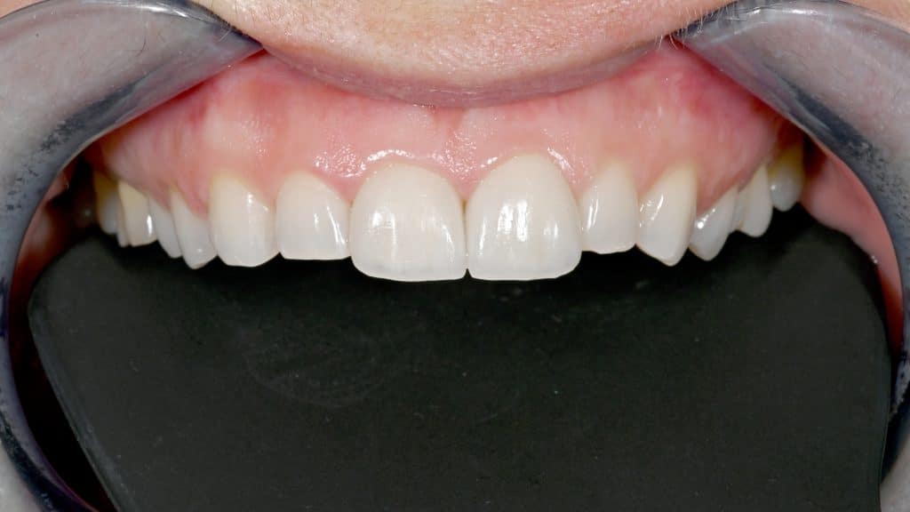
Licówki
Posiadamy wieloletnie doświadczenie w wykonywaniu licówek ceramicznych.
Zarówno metodą feldszpatową napalane indywidualnie ceramiką dentystyczną, jak i również techniką CAD/CAM.





Posiadamy wieloletnie doświadczenie w wykonywaniu licówek ceramicznych.
Zarówno metodą feldszpatową napalane indywidualnie ceramiką dentystyczną, jak i również techniką CAD/CAM.





tel. stacjonarny